Patrice Morel Prothésiste dentaire
Vous êtes ici :

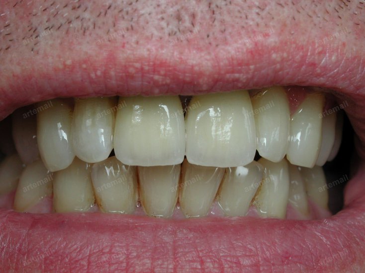
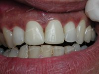
Type 6 : céramo-céramique alumine sur centrale unitaire

Les deux premiers cas cliniques sont traités en céramo-céramique Alumine Création AV recouvrant une reconstitution coronaire céramisée et une dent naturelle.
Le troisième cas clinique présente une céramo-céramique Alumine Vision associée à deux reconstitutions coronaires métalliques.
 
             Travaux réalisés en collaboration avec Dr M. Jully (1-10), Dr D.Gerdolle (11-16) & Dr L.M. Favot (17-21)







Laboratoire ART EMAIL
Patrice MOREL
19 route de saizerais - 54460 LIVERDUN
Tél. : 03 83 64 62 20 - Mobile : 06 71 01 84 25