Patrice Morel Prothésiste dentaire
Vous êtes ici :

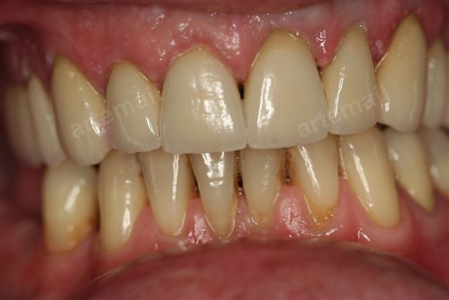
Type 4 : bridge céramo-métalique de grande étendue

Voici un cas de bridge céramo-métalique supérieur complet qui permet d'illustrer un protocole simple par des étapes incontournables et très efficaces.
 
             Travail réalisé avec les docteur : Dr L.M. Favot (1-14) & Dr D. Gerdolle(15-19)







Laboratoire ART EMAIL
Patrice MOREL
19 route de saizerais - 54460 LIVERDUN
Tél. : 03 83 64 62 20 - Mobile : 06 71 01 84 25