Patrice Morel Prothésiste dentaire
Vous êtes ici :
 

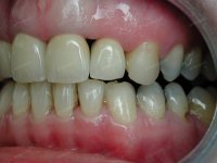
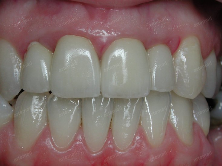
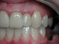
Type 1 : prothèse zircone et alumine unitaire

Les deux premiers cas cliniques présentés ici sont réalisés en Création ZI sur des supports fraisés en zircone couvrant des reconstitutions coronaires métaliques.
Le troisième cas clinique est en revanche traité en Création AV sur un support alumine associé à des reconstitutions coronaires céramo-métaliques (inlay-core céramisé).

Les trois cas cliniques présentés ont été réalisés en collaboration avec le Dr L.Favot

 






Laboratoire ART EMAIL
Patrice MOREL
19 route de saizerais - 54460 LIVERDUN
Tél. : 03 83 64 62 20 - Mobile : 06 71 01 84 25