Patrice Morel
Prothésiste dentaire
Le laboratoire
Travaux & cas cliniques
CFAO
Formation
Contact
Vous êtes ici :
Travaux & cas cliniques
Accueil
Type 10 : exercice morphologique postérieur
Type 1 : prothèse unitaire en zircone ou alumine
Type 2 : cas de niveau esthétique complexe sur antérieures unitaires
Type 3 : prothèse implantaire sur faux moignon zircone
Type 4 : bridge CM de grande étendue
Type 5 : facette feldsphatique
Type 6 : céramo-céramique alumine sur centrale unitaire
Type 7 : prothèse implantaire au laboratoire
Type 8 : cas extrême
Type 9 : reconstitution complète maxillaire
Type 10 : exercice morphologique postérieur
Type 11 : cas sur 10 implants
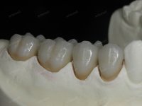
Type 10 : exercice morphologique dans le secteur postérieur
Voici un exercice morphologique sur dents postérieures jeunes
réalisé en Création AV sur chapes alumine.
Stratification
1ére cuisson
Céramo-métalique
Céramo-métalique
Céramo-métalique
Céramo-métalique
Céramo-métalique
Céramo-métalique
Laboratoire ART EMAIL
Patrice MOREL
19 route de saizerais - 54460 LIVERDUN
Tél. : 03 83 64 62 20 - Mobile : 06 71 01 84 25
Mentions légales
|
Données personnelles
En poursuivant la navigation sur ce site, vous acceptez que les cookies soient utilisés à des fins d'analyse, de pertinence et de publicité.
J'accepte
Je refuse
Plus d'informations